![]()
임플란트
환자만을 생각한
임플란트, 1:1맞춤 지대주
사용하여 진료
![]()
교정치료
심미성을 생각한
교정치료 시행
[클리피씨, 투명교정]
![]()
치주치료
건강한 잇몸으로
재생을 도와주는
전반적인 치주치료
![]()
미백치료
변색된 치아를
하얗고 투명하게
업그레이드해주는 치료
![]()
보존치료
자연치아를 보존하면서
심미적으로 건강한
구강상태로 도와주는 치료
![]()
소아치료
유치부터 관리해야
건강한 영구치를 얻을
수 있어 매우 중요한 치료
![]()
심미보철
치아가 상실된 경우
치아형태를 복원하고
치아기능을 살려주는 치료
![]()
예방치료
예방치료를 통해
소중한치아를 오랫동안
보존, 유지할 수 있게 진료
![]()
틀니치료
식사시간이 두렵지 않게
틀니치료로 즐거움을
되찾아드리는 치료
![]()
충치치료
건강한 자연치는
최대한 보존하고 충치
부위만 정확히 삭제
yonsei saebich dental clinic
연세새빛치과는 각 분과별
2인의 전문의가 직접진료를 시행합니다.
치과전문의는 전국에 단 10%! 연세새빛치과는 각 분과별 치과전문의가 직접 진료합니다.

대표원장·보철과전문의 김미진
연세대학교 치과 보철과 박사 수료
Sahmyook Adventist dental hospital 인턴수료
Sahmyook Adventist dental hospital 치과보철과 레지던트 수료
삼육보건대학교치위생과 겸임교수
대한치과보철학회 정회원
대한구강악안면임플란트학회 정회원
대한심미치과학회 정회원
외과적 정출술과주조포스트코아를 이용한 전치부 고정성 보철물의 수복 증례
BPS를 이용한 의치 제작 증례
CAD/CAM system과 전통적인 방법을 이용한 총의치 동시 제작 증례

교정원장·치과교정과전문의 장하나
조선대학교 치과대학 치의학과 졸업
조선대학교 치과병원 인턴
조선대학교 치과병원 치과교정과 레지던트
조선대학교 치과학대학원 치과교정학 석사수료
전) 강남 차병원 치과교정과 임상교수
차의과대학교 의학전문대학원 치과학교실 외래교수
대한치과교정학회 인정의
대한치과교정학회 정회원
대한턱관절교합학회 정회원
대한 설측교정학회 회원
대한설측교정학회 설측교정 연수회 수료
인코그니토 설측교정 고급과정 수료
미국교정학회 International member
세계교정의사협회 Fellow

yonsei saebich dental clinic
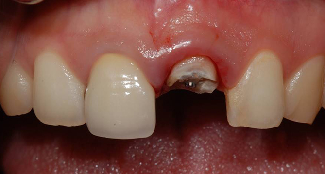
TOP-DOWN TREATMENT,
임플란트 시술 전 보철과 전문의의 구강평가시스템
환자의 교합, 치아 상실 부위, 치주상태 등을 평가한 후 보철의 치료계획을
먼저 세우고 임플란트 수술 계획을 세우는 것을 말합니다.
임플란트는 구강내 질환이 있거나 잇몸이 약한 등 구강환경에 따라 제약이 따르기 때문에
연세새빛치과에서는 보철과 전문의의 구강 평가 후 임플란트 시술 가능여부를 체크합니다.
내 상태에
맞는 지대주 사용
맞춤 지대주 사용으로
내 구강상태와 맞는 임플란트
네비게이션
임플란트
오차없는 범위에서 완벽한
임플란트 식립을 기대
지르코니아
크라운
심미성가 강도가 우수하고 생체친화적인
지르코니아 크라운만 사용


선명한 사진이
보입니다.
(클릭하여 로그인 하기)
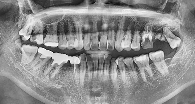
연세새빛치과 상악동거상임플란트 사례

선명한 사진이
보입니다.
(클릭하여 로그인 하기)
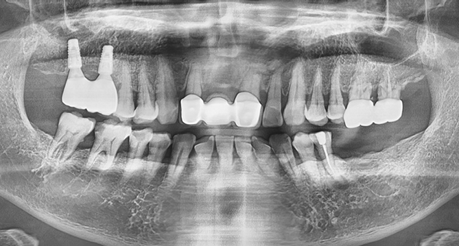
연세새빛치과 전악 임플란트 사례
yonsei saebich dental clinic
연세새빛치과 개인맞춤
어버트먼트(지대주)의 장점
자연치아와 흡사한 조건으로 치아를 재건하는 임플란트,
높은 기술력이 요구되는 만큼 누릴 수 있는 장점 또한 다양합니다.
연세새빛치과는 개인맞춤 지대주 사용으로 더욱 안전하고, 안정감있게 치료를 도와드립니다.

인공치아(crown) 깨짐현상 방지
자연치아의 지주대와 최대한 비슷하게 설계되어 인공치아가 깨지는 것을 방지해줍니다.
임플란트와 잇몸사이의 염증감소
최적화된 공간을 최소화하여 치아와 임플란트 사이 음식물이 끼는 것을 방지하여 치주염과 잇몸염증을 예방해줍니다.
심미적 보철물 제작가능
실체치아처럼 자연스러운 Emergence Profile을 구현하여 심미적인 보철물 제작이 가능합니다.
yonsei saebich dental clinic
교합과 심미성을 모두 만족시키는
완벽을 추구하는 교정치료를 진행합니다.
풍부한 경험을 보유한 의료진이 직접 상담부터 유지, 치료까지 책임지고
개개인의 구강상태에 따른 적합한 최선의 치료계획을 수립하고 치료합니다.
개인의 얼굴형태나 아래위턱뼈의 형태, 성장발달 단계 등 여러가지를 고려해
치료계획을 세우는 교정은 정밀진단을 통한 올바른 치료가 중요합니다.
기존교정장치

일반 교정장치는 심미성이 떨어지고,
마찰로 인해 통증이 있습니다.
또한 치과에 자주 내원하여 검진을 받아야 합니다.
클리피씨교정장치

클리피씨교정장치는 치아색과 유사하며,
균등한 힘을 유지해 통증이 적습니다.
초기 교정기간을 단축시켜준다는 장점이 있습니다.

교정 후에도 걱정하지마세요!

연세새빛치과 전체치아교정[클리피씨] 교정 전
선명한 사진이
보입니다.
(클릭하여 로그인 하기)
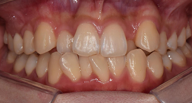
연세새빛치과 전체치아교정[클리피씨] 교정 후

연세새빛치과 전체치아교정[클리피씨] 교정 전
선명한 사진이
보입니다.
(클릭하여 로그인 하기)
연세새빛치과 전체치아교정[클리피씨] 교정 후

연세새빛치과 전체치아교정[클리피씨] 교정 전
선명한 사진이
보입니다.
(클릭하여 로그인 하기)
연세새빛치과 전체치아교정[클리피씨] 교정 후
yonsei saebich dental clinic
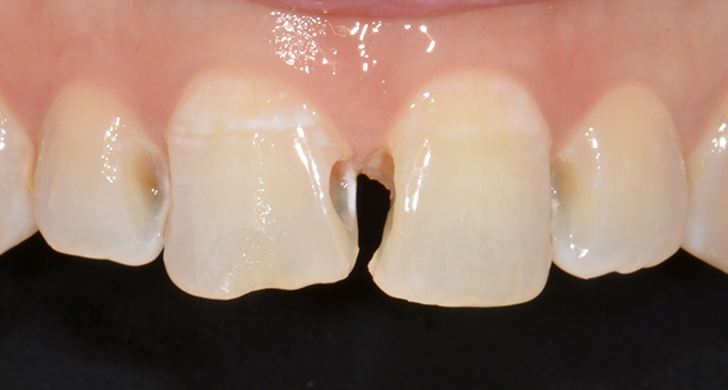
치아의 기능과 심미성 회복을 위한 치료로
정확한 치료계획이 필요한 보철치료
보철과 전문의의 자연치아보호하기, 금이 갔거나 심한 충치로 인해
상실 또는 손상된 치아를 견고하고 심미적인 보철물을 통해 기능과 심미성 회복을 도와줍니다.
연세새빛치과는 보철과 전문의가 정확하게 개인별 맞춤치료계획을 수립하여
남아있는 자연치들이 상실된 기능을 회복하고 주변치아의 치아질환예방과 전체적인 심미성까지 고려합니다.
심미성이 중요한 전치부 보철물은 더욱 더 전문성이 필요합니다.
연세새빛치과는 보건복지부인증 보철과 전문의의 정확한 진단과
정석적이고 체계적인 치료를 진행합니다.


인레이치료
인(In)레이는 치아안으로 들어간다는 뜻으로,
치아의 씹는면과 옆면에 생긴 충치를 제거하고
모양을 다듬은 후 빈 공간을 수복하는 보철물의 종류입니다.

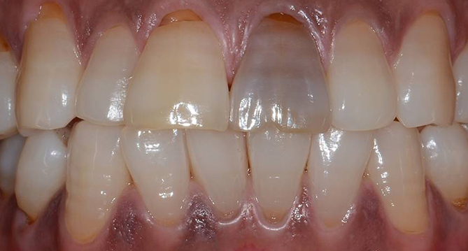
지르코니아크라운치료
치아가 충치 또는 파절로인해 심하게 손상되었거나
신경치료를 한 경우 등의 외부로부터 치아에 가해지는 위험을
차단시키기 위해 치아 전체를 덮어 씌우는 인공치아를 뜻합니다.

브릿지치료
상실치아의 양 옆의 치아모양을 다듬은 후 여러개의 크라운
보철물을 연결하여 치아의 심미성과 기능을 회복시키는
보철물의 한 종류입니다.

틀니치료
다수의 치아 상실로 치아 기능이 저하된 분들에게
강한 저작력과 고정력, 반영구적 수명, 심미성을 회복할 수있는
치료법으로 전체틀니, 부분틀니가 있습니다.
yonsei saebich dental clinic
이제는 치료가 아닌, 예방의 시대!
새빛구강관리프로그램
새빛구강관리프로그램은 환자분들의 잇몸수명을 늘려주고,
치아를 건강하게 유지하기 위한 프로그램입니다.
치료도 중요하지만, 예방이 무엇보다 중요합니다. 새빛구강관리프로그램으로
여러분들의 치아건강을 책임지고 지켜드립니다.

yonsei saebich dental clinic
깨끗한 환경, 감염방지를 위한
연세새빛치과의 10단계 시스템의 소독관리!
연세새빛치과는 각 기구별 멸균, 소독작업 후 의료전용 고온가압 멸균기로
철저하게 위생관리를 하고 있으며, 개별 체어정수시스템을 사용합니다.
[안심하고 내원하세요], 연세새빛치과는 깨끗한 환경유지 및 감염방지를 위하여
철저히 위생관리하여, 편안히 진료받을 수 있도록 노력합니다.
대학병원시스템의
철저한 멸균관리 시스템
치료 후 의료폐기물
원칙폐기
사용하는 모든 치과기구의
개별포장 진행
개별체어정수프로그램,
수관별도의 소독관리
환자마다 멸균된
핸드피스와 스켈러 사용

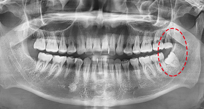
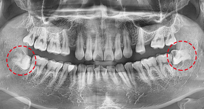
오차없는 진단시스템, 3D CT
최첨단 3D CT를 통해 맞춤형 임플란트 수술이 가능하며
누워계신 상태로 편안하고 간편하게 방사선 촬영이 가능한
최신형 이동형 엑스레이도 사용하고 있습니다.

두려움을 덜어드리는, 마취시스템
치과치료가 무서운 분들을 위한 무통마취기와
입에 머금고 있으면 표면마취가 되는 가글마취제를
사용하고 있습니다.
치과공포증이 있으신 분들, 소아치료시 통증을 최소화한
마취 실시합니다.

저자극 스케일링, AIR FLOW
기구가 닿을 수 없는 치아 구석구석,
치아표면의 세균막과 착색통증을 최소화하여
제거해줍니다.

골융합 정도 측정, OSSTELL ISQ
골융합정도를 측정하여 수치로 확인할 수 있는
과학장비입니다.

1인 1핸드피스, 핸드피스 오일링기
환자분들의 입 안에 들어가는 대표적인 기구인
핸드피스를 200~300% 뛰어난 세척 세정력으로 관리
합니다.
1인 1핸드피스 사용으로 안심하고 치료받을 수 있습니다.
yonsei saebich dental clinic
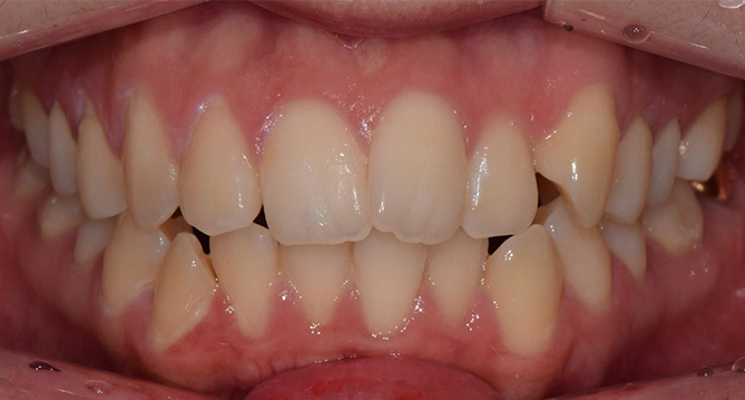
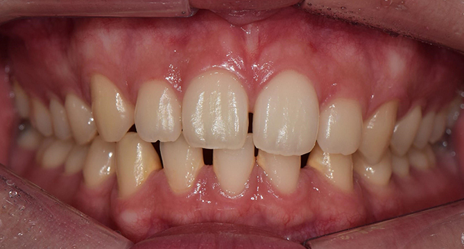
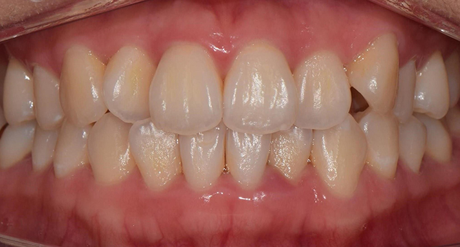
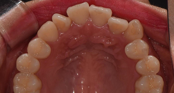
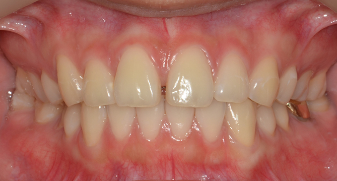
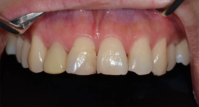
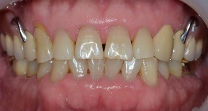
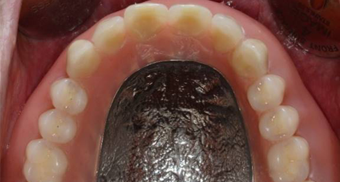
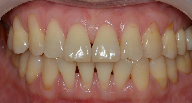
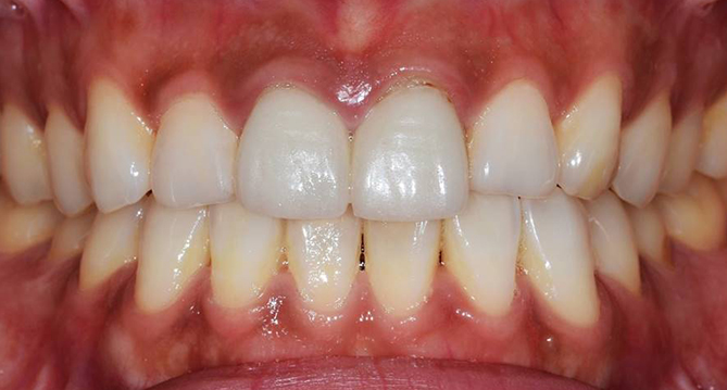
꼼꼼한 치료, 체계적인 사후관리!
연세새빛치과에서 치아건강을 되찾으신 분들입니다.
yonsei saebich dental clinic
연세새빛치과의
깨끗하고 아늑한 진료실
깨끗하고 아늑한 진료환경을 자랑하는 연세새빛치과는
가족을 치료하는 마음으로 진심을담아 정성을다해 최고의 진료만을 선사하겠습니다.

진료시간
진료예약






































